一位因持续腹痛、腹胀就诊的患者,日前在广东祈福医院经历了一场曲折的诊断过程,检验科团队凭借对一份腹水常规样本的敏锐洞察与不懈深究,最终在显微镜下揭开了腹痛背后的残酷真相——结肠癌伴腹腔转移。
持续腹痛,
常规腹水检验揪出“不速之客”
2025年12月24日,36岁的王先生因持续两周的腹痛、腹胀,并伴有黑便,来到广东祈福医院消化内科就诊。此前,他在外院已完成胃镜、肠镜初步检查,仅提示“慢性浅表性胃炎”和“结肠炎症改变”。入院后,初步化验发现C反应蛋白升高、大便中有肝吸虫卵,临床诊断一度倾向于“中华肝吸虫病”。
诊断的转折点出现在一份腹水样本的检验中。12月26日,医学检验科技师袁桥明在分析患者腹水常规结果时,发现“单个核比例偏高”这一细微异常。他没有放过这个信号,立即离心制片进行显微镜观察,发现了一些形态可疑的细胞。在与检验科主管技师李玥初步讨论后,团队保持了高度警惕。
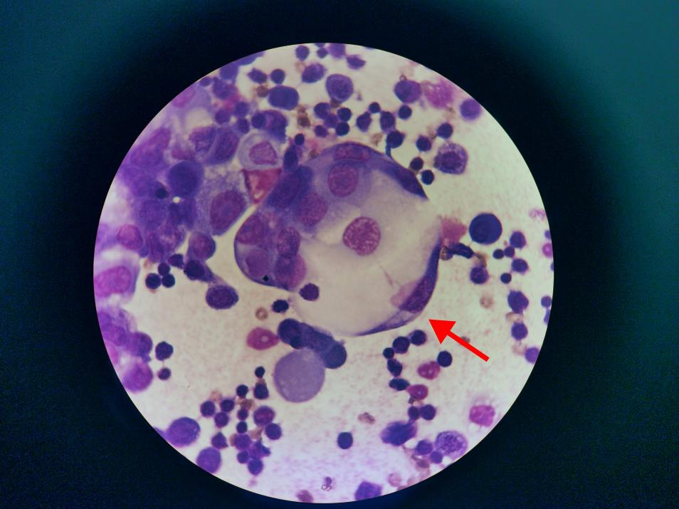
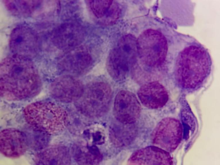
两天后复查,异常细胞参数持续升高。检验科袁桥明、李玥随即组织团队进行更精细的检查。通过瑞氏染色并在高清晰度的油镜(备注:实验室常用的显微镜之一)下仔细观察,他们发现了具有明显恶性特征的细胞:胞体巨大,成团或散在分布,胞质丰富,可见腺泡样结构,胞核大、核仁显著。团队高度怀疑其为“肿瘤细胞”,并初步指向腺癌可能性。


↑ 王先生腹水标本中发现的异常细胞(油镜下视野)
多学科接力,
确诊结肠癌转移
检验科立即与临床医生进行了紧急沟通,并建议送检新鲜腹水进行进一步分析。12月29日,新鲜腹水送达,经复核后,检验科在报告中明确标注“发现异型细胞,形态考虑肿瘤细胞(腺癌可能)”,并强烈建议进行病理学检查。
随后,病理科接手。通过液基细胞学、石蜡切片及一系列免疫组化检测,最终诊断尘埃落定:王先生的根本病因并非单纯的肝吸虫感染,而是已发生腹腔转移的结肠癌。
启示:细微之处见真章
广东祈福医院检验科主任石凌波表示,腹水常规是一项基础检验,但检验人员没有局限于发出常规参数报告,而是通过对细胞形态的细致观察、团队内部的审慎讨论以及与临床科室的主动、及时沟通,扮演了诊断链上的关键“侦察兵”角色。
消化内科专家借此案例提醒公众,对于持续不缓解的腹痛、腹胀、排便习惯改变、便血或黑便等症状,应予以足够重视,及时就医并进行全面检查。







0
2026-01-29
















