万万没想到,
小学生怎么会脑出血?
这事真实发生在广东江门12岁男生小越身上。
他熬夜打游戏至凌晨三点
次日突发头痛呕吐并晕厥
到当地医院一查竟是脑出血……
熬夜次日突发晕厥,少年脑出血危机四伏
据家长回忆,小越非常喜欢打游戏,放假期间更是玩到凌晨3点,才舍得放下发烫的鼠标入睡,直至第二天下午4点再起来吃饭。不料,这天4点刚吃完饭,小越突然脸色发白、剧烈头痛呕吐,还没等家人反应过来,小越已晕倒在地,任凭怎么呼喊都没有反应。
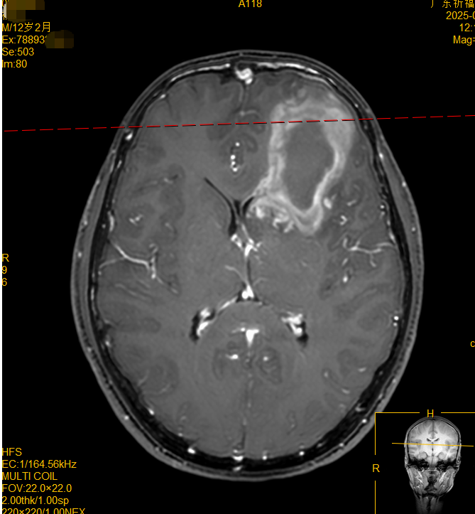
爸妈立即将他送到当地医院,检查结果让大家心头一紧——头部CT显示小越左侧额叶脑出血,进一步颅脑CTA检查显示左侧额叶动静脉畸形。医生建议尽快手术,但由于畸形血管团位置险要,周边密布重要神经,传统开颅手术极易引发大出血、神经功能损伤、癫痫等并发症。经过痛苦权衡,小越爸妈含泪拒绝了开颅手术方案,想寻找更安全的治疗方法。当地医院推荐小越转至广东祈福医院放疗中心接受射波刀治疗——一种无需开刀即可治疗脑部疾病的放射外科治疗技术。

120急救车把小越送到广东祈福医院时,他虽清醒但无法行走,根据检查结果,放疗中心主任刘秋华教授、谢荣辉医生等为小越制定了一套SBRT射波刀治疗方案。不需开刀,不需麻醉,治疗时小越全程清醒躺卧,每次20分钟左右,射波刀通过精准射线照射病灶而不伤及周边组织。3次照射配合药物治疗,小越上肢无力症状逐渐缓解,出院时已能自行下床行走。如今小越回院复查,一家人十分欣喜:瘤床已缩小,畸形血管大部分闭合,没有新的出血灶产生。小越已顺利重返校园,重新拥抱他应有的少年时光。
专家提醒:青少年脑出血需警惕
脑出血本是中老年患者多见的急症,怎么会发生在12岁小学生身上?原来,小越原本存在先天性的左侧额叶动静脉畸形,而熬夜打游戏则成了导火索——长时间的大脑刺激使他的交感神经持续紧张、血压不断升高,最终诱发悲剧。针对位置刁钻、无法手术的动静脉畸形(AVM),射波刀凭借其亚毫米级的超高精度,能在影像实时引导下,将高剂量射线精准聚焦于病灶,同时灵敏地避开周围的敏感功能区与正常脑组织,从而在不开刀、无痛的前提下实现治疗,并保护神经功能。

刘秋华教授也提醒大家:青少年脑出血虽少见,但一旦发生,后果严重。除了先天血管畸形等病因外,不良生活习惯也是重要诱因。尤其当前已进入秋冬季,气温变化大,血管会自然收缩,血压更易波动,他特别呼吁广大家长和青少年们:
规律作息,避免熬夜:青少年正处于生长发育关键期,每天应保证8-10小时的充足睡眠,让大脑和血管得到充分修复。长期熬夜会使大脑持续处于应激状态,容易引起血压波动,增加血管负担。
适度使用电子产品:避免长时间沉迷游戏、视频,每日累计时长不超1小时,每隔20-30分钟务必起身活动,远眺放松,让大脑和眼睛都得到休息。
保持情绪平稳:避免在游戏或观看视频时过度兴奋、紧张或愤怒,学会管理情绪,防止血压剧烈波动。
均衡饮食,适量运动:多吃蔬菜水果,减少高油高盐食物摄入;每天保持适量运动,增强心血管功能。
关注身体信号:若孩子出现从未有过的剧烈头痛、喷射性呕吐、单侧肢体麻木或无力、视物模糊或重影等症状,必须第一时间就医,这可能是脑出血的征兆。







0
2025-11-14
















